With Max Implants, we ensure you receive maximum success, function and esthetics by our board-certified Oral and Maxillofacial Surgeon, Dr. Nicolas Bebeau.
Welcome to Max Implants by Dr. Bebeau. If you have multiple missing teeth in your upper and lower jaws and you’re interested in eating the food you want, restoring your smile and regaining your confidence, you should strongly consider full arch (All-on-4®) dental implants. We help patients restore their smiles by offering full mouth dental implants with delivery of an entirely new smile in one day.
Dr. Bebeau is one of the most experienced implant surgeons in the state of Arizona, having placed over 10,000 dental implants and completing over 2,500 full-arch (All-on-4®) implant cases. He is a board-certified Oral and Maxillofacial Surgeon with extensive experience in dental implant placement and maxillofacial reconstruction. In addition, he is a Fellow of the American College of Surgeons, a distinguished society of the best American surgeons.
About Dr. Bebeau
Full Mouth Implants (All-on-4®) by board-certified Oral and Maxillofacial Surgeon, Nicolas Bebeau MD, DDS, FACS.
- 10,000+ implants placed
- 2,500 full mouth cases completed
- 10+ years of experience
- 2 doctorates: Doctor of Medicine (MD), Doctor of Dental Surgery (DDS)

Patient Stories
The confidence and caring of Dr. Bebeau and his staff completely eclipsed my apprehension and allowed me the opportunity have the life changing procedure completed. Pre op every detail was addressed, question answered, concern mitigated and strategy explained. The actual surgery was perfectly executed, and every expectation met. Now 6 months post op, I have absolutely no regrets about the procedure and the surgeon who so compassionately performed his craft with exacting precision.
Dr. Bebeau and his amazing surgical team remind me of orchestra musicians making beautiful music. The assistants seem to know exactly what Dr. Bebeau needs during surgery before he asks and they all deliver with fine precision!
His work is by far, the most superior, effective and thorough that I’ve experienced. I have to say that I was never comfortable in ANY oral surgery office, except THIS ONE. Go. Go as soon as you need to. Go!

It was the precision, it was taking the time, it was the explanation that went with it. It’s that I got that world-class service, I was the most important person in the room and they were not in a hurry to go anywhere else.
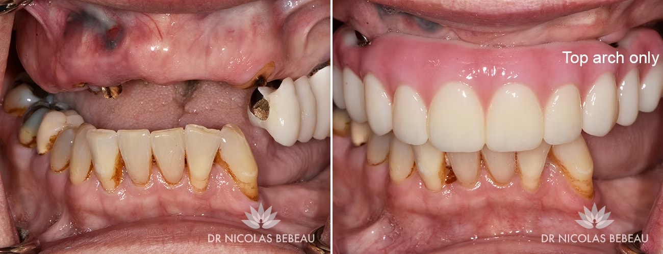
Smile Gallery






Before-and-after photos of our All-on-4® patients
Get Pricing & See If You Are a Candidate
Are You a Candidate for Dental Implants?
How much does it cost?
Dental implant costs vary throughout the city and are largely dependent on the difficulty of the case and the type of implants and materials used. If you’d like to know more about the cost of dental implants and full arch (All-on-4®) surgery, click here to access our cost guide.
How long will it take for me to have my final teeth?
At Max Implants, you receive two sets of teeth. You’ll receive your first set on the day of surgery so that you walk out of the office with a new set of teeth. The final set will be delivered after a period of healing, typically four to six months after your initial surgery.
To find out more about the timing, click here to access our cost guide.
Am I going to be awake or asleep?
All surgeries at Max Implants are offered with anesthesia to ensure your comfort and eliminate anxiety. You will be asleep for the procedure and should you wish, monitored by a board-certified medical anesthesiologist.
Why Choose Max Implants?
Uncompromising Excellence
At Max Implants, excellence is the standard. This comes in a variety of forms including using the best materials, having open and direct communication, providing the best possible outcomes for our patients and a firm commitment to meeting your goals.
Personalized Treatment
Each patient is unique and each story is different, making a one-size fits all solution impractical. Our team is dedicated to hearing your story and personalizing your care so that realistic and predictable goals are achieved. We listen and we care.
Expert Team
The team at Max Implants brings extensive experience and a commitment to excellence in patient care, adhering to the highest standards of oral and maxillofacial surgery. Our extensive experience in the full arch (All-on-4®) implant space allows us to guide you on your implant journey with confidence and ease.
Cutting-Edge Technology
Utilizing state-of-the-art technology and advanced surgical techniques, we provide efficient and effective implant procedures while prioritizing patient safety and well-being. Intra-oral scanning, cone beam CT imagery and human growth factors are just some of the techniques we use to achieve maximum results.